健康科普||小检查、大作用——颈动脉超声守护您
发布日期:2025-09-19 点击:202
在我国,脑血管病的发病率逐年上升,且日趋年轻化,其中70%以上是缺血性脑血管病(脑卒中、脑梗塞、脑血栓等)。随着大众健康意识地不断增强,缺血性脑血管病逐渐受到越来越多地关注。由于颈动脉对脑部血液供应的重要性,一旦发病,可能导致严重的后果,因此我们一定要早期筛查高危人群,及早进行有针对性地预防,颈动脉超声检查就成了重要的检查手段。

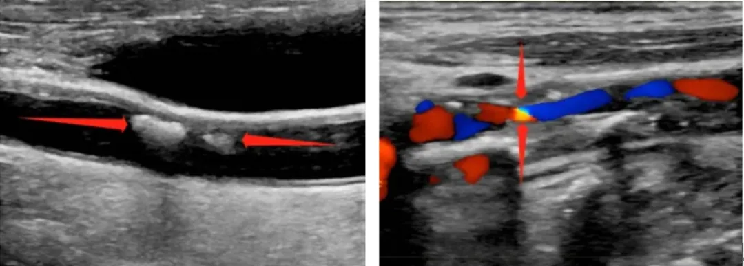
1、什么是颈动脉斑块
颈动脉斑块是颈动脉最常见的动脉病变,通俗来说,颈动脉斑块就像水管里的水锈,受各种因素的影响,人体动脉血管会逐渐老化、硬化,血管内的“杂质”随着血流的流动不断地沉积到血管壁上,在血管壁上形成增厚的凸起,这就是斑块形成的过程。全身的动脉血管都可能“长斑”,其中尤以颈动脉斑块危害最大!

2、颈动脉斑块的危害?
颈动脉,是连接心脏和大脑的主要通道。如果颈动脉变得狭窄甚至闭塞,供应大脑的血流量会减少,使得大脑正常运行所需的氧气不足,就会出现头晕、头痛、嗜睡、耳鸣、黑朦、视力模糊、失眠、记忆力减退等一系列脑缺血症状。如果斑块脱落后,随血液进入人的脑血管,一旦将脑内血管堵塞,就会产生脑血栓的状态,造成失语、偏瘫、昏迷,甚至死亡等严重后果。

3、颈动脉超声检查的重要性?
颈动脉超声检查是评估颈动脉疾病的基本检查方法之一,简便、无创、重复性好。颈动脉超声不仅能清晰显示血管内中膜是否增厚、有无斑块形成、斑块的部位、大小、是否有管腔狭窄、闭塞等情况,并能进行准确的测量及定位,还能对检测动脉的血流动力学检查结果进行分析,通过颈动脉超声检查,医生能精准判断患者病情,预估卒中风险,采取相应的预防和治疗措施,提高患者的生活质量,从而降低心血管疾病的发病率。

4、哪些人群需要做颈动脉超声检查?
高血脂、高血压、糖尿病及心脑血管病的患者;
肥胖患者;
不良生活饮食习惯者(如抽烟、喝酒、久坐缺乏锻炼者等);
出现头晕、耳鸣、恶心、失眠、头痛、晕厥、记忆力减退等症状的人群;
既往有颈动脉斑块、颈动脉支架置入术后,需要定期复查的人群;
40岁以上无症状人群,特别是男性,建议纳入常规体检项目。

5、颈动脉超声检查需要做哪些准备?需要空腹吗?
颈动脉超声检查不需要空腹。检查当天可摘去项链,穿方便解开衣领的衣服,以充分暴露颈部,即可检查!

6、怎样预防颈动脉斑块,方法主要包括以下几点:
改变不良生活习惯:积极调整饮食,戒烟限酒,控制体重。
规律主动运动:增强体质,加强免疫力。
药物治疗:三高患者要用药物控制病情
定期体检:及时发现导致斑块形成的疾病。
调节心情:保持心情舒畅,减低身体应激反应,减少血管炎症反应。

总之,颈动脉超声检查是守护您“生命线”的重要工具。我们可以通过颈动脉超声检查,做到早发现、早干预、早治疗,这样就可以避免很大一部分脑卒中的发生!让我们共同努力,为您健康的生活保驾护航!
作者简介:李晓静 郑州市惠济区卢店社区卫生服务中心主治医师 从事基层超声诊断工作十余年,先后在河南省人民医院、郑州大学第三附属医院(省妇幼保健院)超声医学科进修学习,熟悉彩超技术操作规程,熟练掌握腹部、小器官、妇产、心脏及颈部血管等系统的常见病及多发病的超声诊断。






科普文章
科普视频
健康讲堂